Specialties
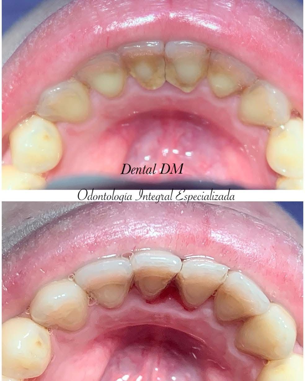
Dental prophylaxis is a preventive treatment that consists of professional teeth cleaning performed by a dentist or dental hygienist. Its objective is to remove bacterial plaque, tartar and surface stains, helping to maintain a healthy mouth and prevent oral diseases such as caries and gingivitis.
Prophylaxis
Examples
Made on
Tilda