Especialidades
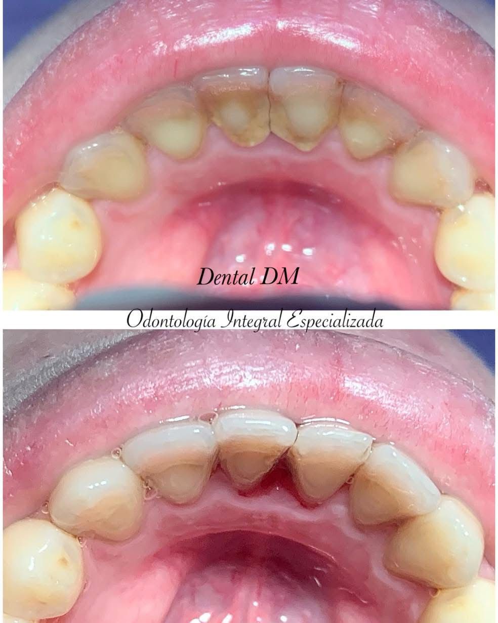
La profilaxis dental es un tratamiento preventivo que consiste en la limpieza profesional de los dientes realizada por un odontólogo o higienista dental. Su objetivo es eliminar la placa bacteriana, el sarro y las manchas superficiales, ayudando a mantener una boca saludable y prevenir enfermedades bucales como la caries y la gingivitis.
Profilaxis
Ejemplos
Made on
Tilda